お知らせ

【番外編】レントゲン機器が新しくなった!

いつもスタッフブログをご覧いただきありがとうございます!

今回はいつものお役立ちブログとは違い、【番外編】です^^。

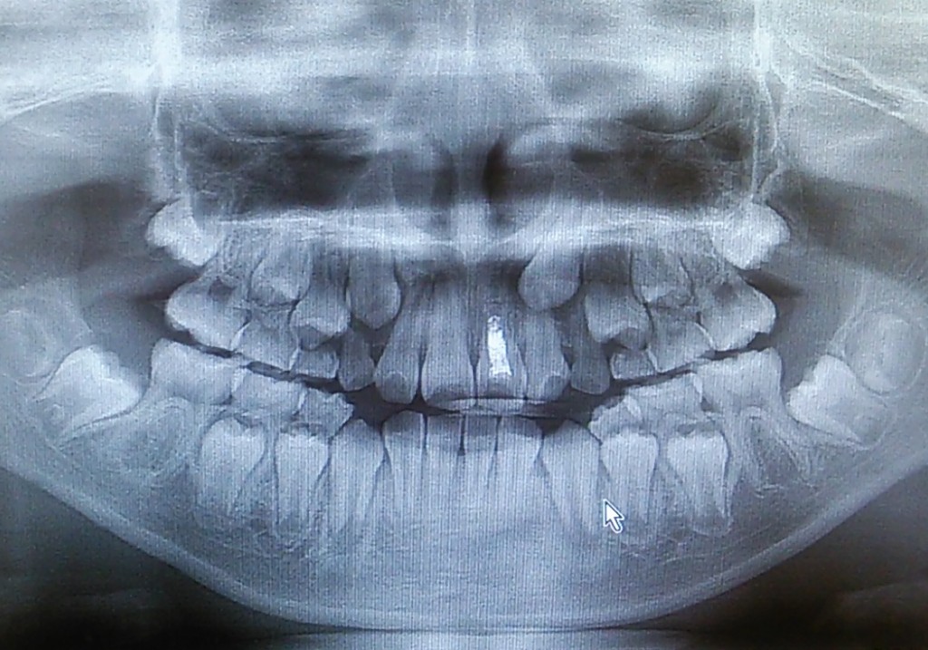
なんと!当院のパノラマレントゲン機器が新しくなりましたー!!!

歯科のレントゲン機器は、目まぐるしく、どんどん性能アップしていきます。

『どこまで鮮明に歯(むし歯)・神経(歯髄)・歯骨が写せるか!?』

これは↑、歯科治療を行ううえでとっても大事なことです。

当院も開院10年が過ぎ、より「丁寧」な治療をご提供できるよう、パノラマレントゲン機器の入れ替えをしました。

「丁寧な診療」「できるだけ痛みの少ない治療」「できるだけ歯や神経を抜かない治療」

をパワーアップしてこれからもご提供していきます♪

むし歯などの一般歯科はこちら

お子様の歯の治療はこちら

歯石取りや歯周病の治療はこちら